Παράκαμψη προς το κυρίως περιεχόμενο
Business Vres
Secondary
Αρχική
Κατηγορίες
Σχετικά
Επικοινωνία
Είσοδος
Αναζήτηση
Κοντά σας
Χάρτης
Προσφορές
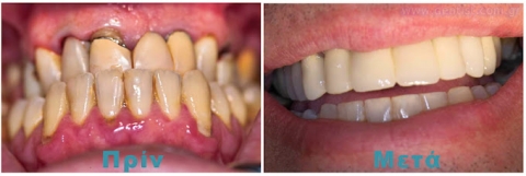
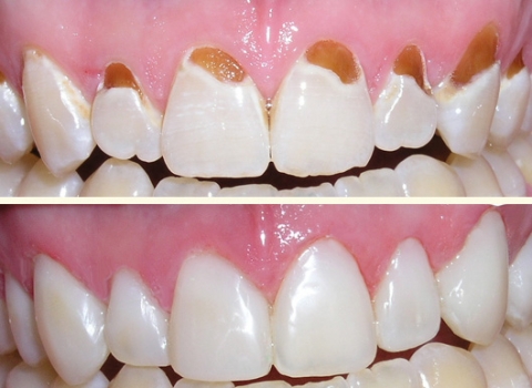
ΧΕΙΡΟΥΡΓΟΣ ΟΔΟΝΤΙΑΤΡΟΣ ΓΕΩΡΓΙΑΔΗ ΕΡΜΙΟΝΗ
Tabs group καταχώρησης
Επικοινωνία
Χειρ. Οδοντίατροι
,
Οδοντίατροι
,
Υπηρεσίες Υγείας
ΧΑΪΔΑΡΙ ΑΤΤΙΚΗΣ
,
ΑΤΤΙΚΗ
,
ΣΤΕΡΕΑ ΕΛΛΑΔΑ
Γεωργίου Παπανδρέου 22, Δάσος Χαϊδαρίου 12462
2105821816
6945410551
egeorgiadi
[at]
hotmail.com
Φωτογραφίες
Προσφορές
Πως θα έρθετε
Δρομολόγηση (Google Maps)
Pinterest